21 Jahre in Funktion: Behandlung eines Knochendefektes ohne Verwendung von KEM durch Implantate mit Ø 2,9 mm
MUDr. Jaroslav Tvrdik
- Jaroslav Tvrdik studierte an der Medizinfakultät der Karlsuniversität in Prag.
- Er absolvierte ein Praktikum auf der Intensivstation im Kath. Marienkrankenhaus Hamburg und in der Eppendorfer Staatsklinik.
- In den Jahren 1980–1990 nahm er am regelmäßigen Operationsprogramm der I. Medizinfakultät der Karlsuniversität in Prag unter der Leitung von Prof. MUDr. Jaroslav Toman, DrSc., teil. In den Jahren 1975–1995 arbeitete er als Mund-Kiefer-Gesichtschirurg im Krankenhaus in Prag.
- Er war 20 Jahre Vorsitzender der regionalen Zahnärztekammer für Prag 6.
„Seit mehr als 20 Jahren habe ich auf die unten beschriebene Weise 22 Patienten mit insgesamt 46 Implantaten (bei einem Patienten beidseitig) behandelt. Abgesehen von einem Verlust eines Implantats während der Einheilphase konnte stets ein vergleichbar zufriedenstellendes Ergebnis wie im dargestellten Fall erzielt werden. Bei keinem der Patienten ist es bisher zu einem Versagen des Zahnersatzes gekommen.“
Anamnese
Der Patient kam im Mai 2002 mit Zahnschmerzen in Regio 36 in die Praxis. Der Zahn wurde extrahiert und die Entzündung geheilt. Aufgrund der Lückenbreite und dem Alveolarknochenvolumen wurden zwei Implantate IMPLADENT mit dem Durchmesser von 2,9 mm im Juni 2003 implantiert. Nach der Einheilung wurde eine mit Adoro verblendete Metallzahnkrone aufgesetzt. Während der folgenden 21 Jahre in Funktion stellte sich der Patient in der Praxis zu regelmäßigen Recalls vor. Die Versorgung musste einmal neu gestaltet werden. Die Implantate waren bei der letzten Kontrolle, im März 2024, also nach 21 Jahren in Funktion stabil. Aufgrund des Vergleichs von Röntgenaufnahmen kam es im Laufe der Jahre zu keiner Resorption um die Implantate.
Klinischer Fallbericht
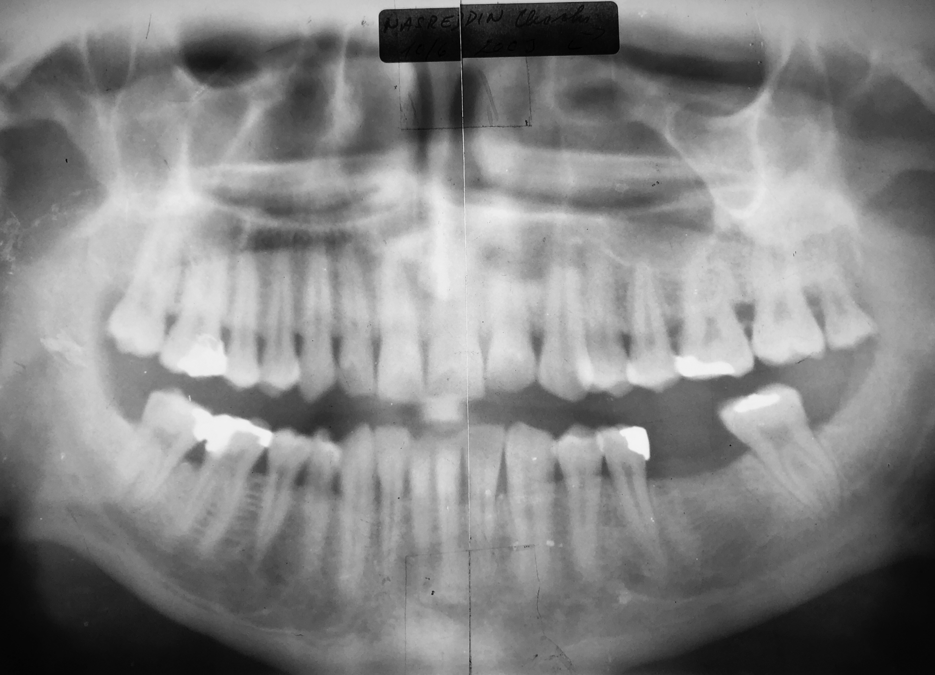
Ausgangsituation im Mai 2002 in Regio 36. Der Zahn wurde folgend extrahiert und der Defekt ordentlich exkochleiert.
Röntgenaufnahme des ausgeheilten Regio 36 nach dem Eingriff ohne Verwendung von Knochenersatzmaterialien von Juni 2003. Hinsichtlich der Lückenbreite und dem Alveolarknochenvolumen wurden zwei Implantate mit Ø 2,9 mm eingesetzt.
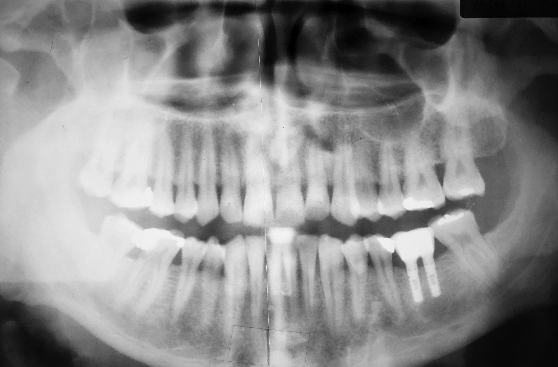
Bei dem Recall im April 2013, nach 10 Jahren in Funktion, war die Versorgung weiterhin perfekt funktionsfähig und die Gewebe um die Implantate waren gesund.
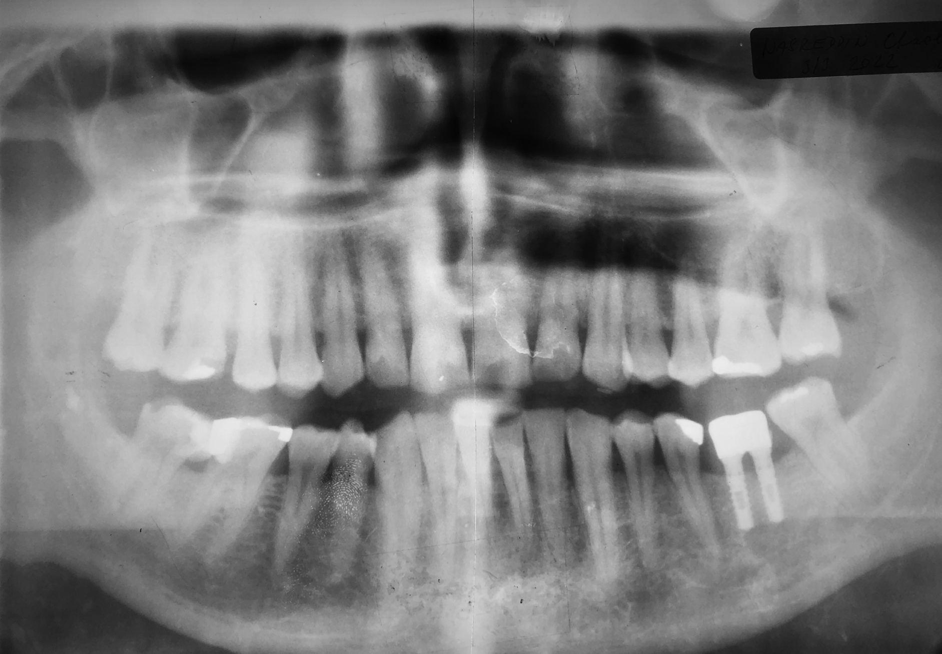
Röntgenaufnahme aus dem Recall im März 2024. Nach 21 Jahren in Funktion wurde die Versorgung neu gestaltet. Die Implantate waren stabil und das klinische Bild ohne Befund. Die Resorption aufgrund der Kontrollaufnahme war 0 mm.



