23 Jahre in Funktion: Implantat mit Ø 3,7 mm nach einem Trauma des Frontzahnes
MUDr. Jaroslav Tvrdik
- Jaroslav Tvrdik studierte an der Medizinfakultät der Karlsuniversität in Prag.
- Er absolvierte ein Praktikum auf der Intensivstation im Kath. Marienkrankenhaus Hamburg und in der Eppendorfer Staatsklinik.
- In den Jahren 1980–1990 nahm er am regelmäßigen Operationsprogramm der I. Medizinfakultät der Karlsuniversität in Prag unter der Leitung von Prof. MUDr. Jaroslav Toman, DrSc., teil. In den Jahren 1975–1995 arbeitete er als Mund-Kiefer-Gesichtschirurg im Krankenhaus in Prag.
- Er war 20 Jahre Vorsitzender der regionalen Zahnärztekammer für Prag 6.
Anamnese
Der Patient stellte sich 14 Tage nach der aufgrund eines Traumas erfolgten Zahnextraktion in Regio 11 mit der Bitte um einen implantatgetragenen Zahnersatz in der Praxis vor. Im März 2001 wurden Änderungen im Bereich der geplanten Implantation festgestellt. Eine Sequestrektomie wurde durchgeführt und die Lücke mit einem abnehmbaren Provisorium behandelt. Die implantologische Behandlung wurde für den Oktober 2001 geplant. Das Implantat IMPLADENT mit dem Durchmesser von 3,7 mm und in der Länge von 12 mm wurde im November 2001 eingesetzt. Nach dem Einheilen des Implantats wurde im Juni 2002 eine metallkeramische Krone aufgesetzt. Der Patient kam zu regelmäßigen Recalls. Weder subjektive noch objektive Änderungen wurden erkannt. Der ursprüngliche Zahnersatz ist auch trotz des signifikanten Bruxismus nach 23 Jahren funktionsfähig und ästhetisch zufriedenstellend.
Klinischer Fallbericht
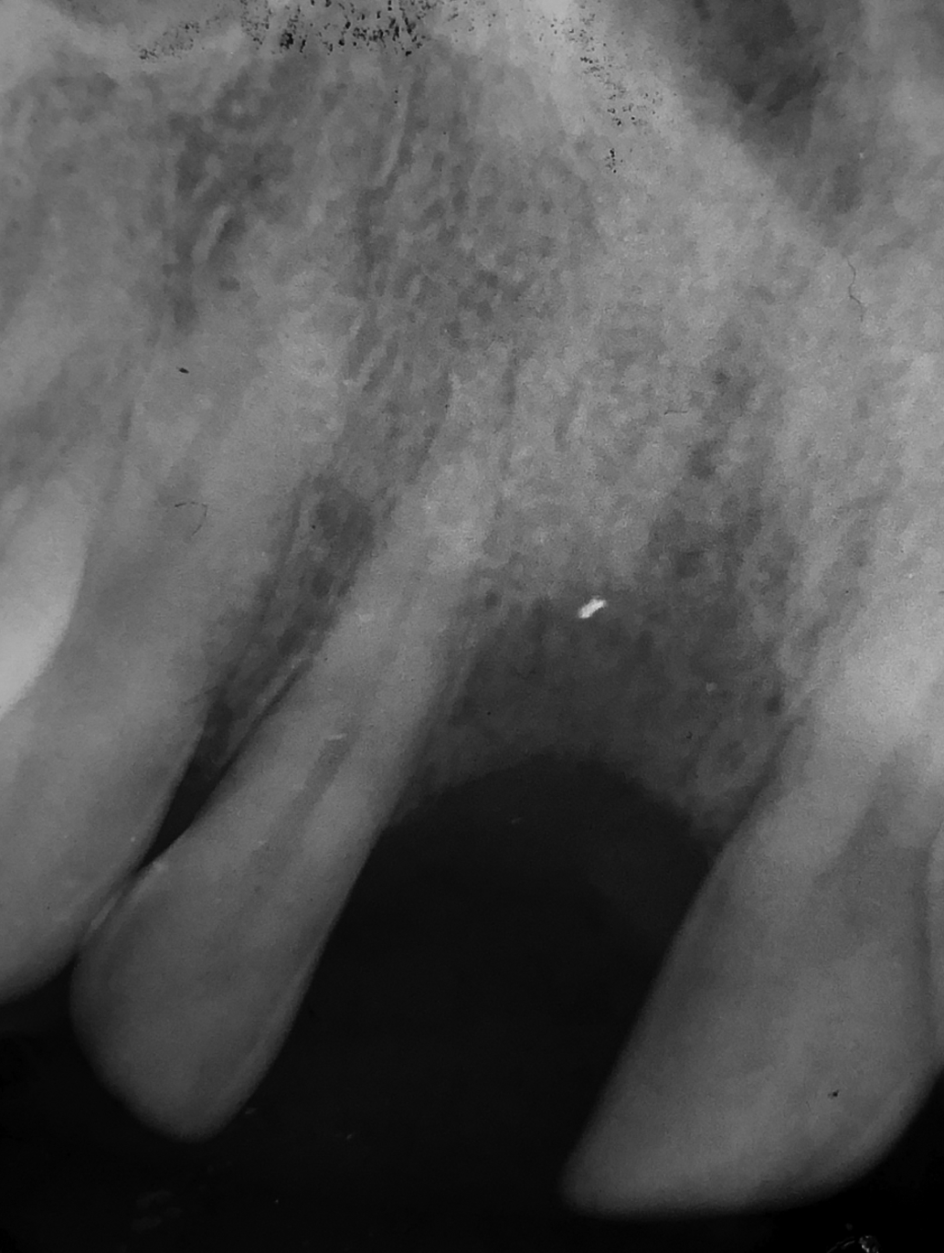
Ausgangsituation nach der Extraktion des Zahnes 11 infolge eines Traumas. Der Patient möchte den fehlenden Zahn mit einem Implantat ersetzen lassen. Im März 2001 wurden Änderungen im Bereich festgestellt. Eine Sequestrektomie wurde durchgeführt und die Lücke mit einem abnehmbaren Provisorium behandelt.
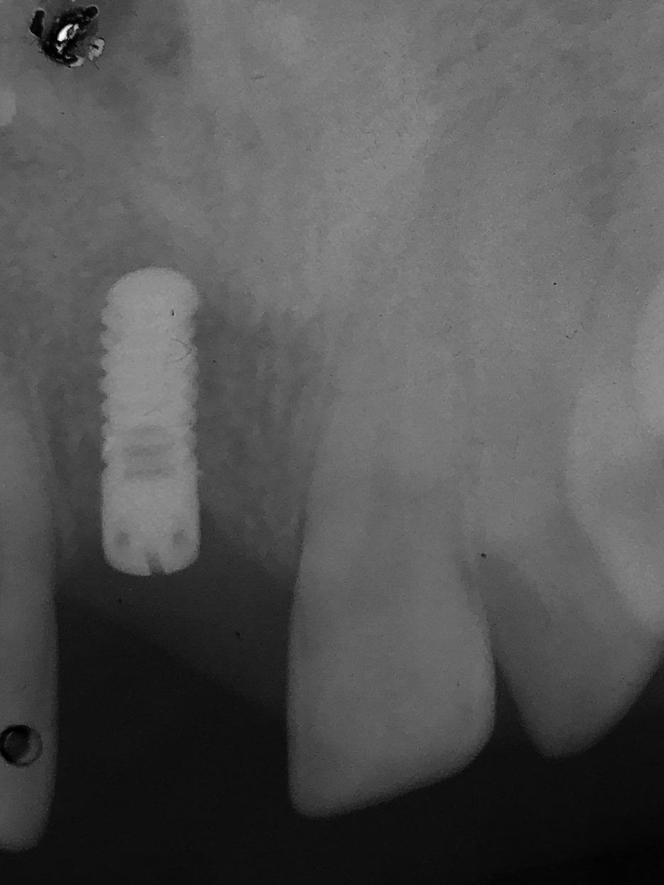
Ein Implantat mit Ø 3,7 mm und der Länge von 12 mm wurde im November 2001 eingesetzt. Das Kontrollbild wurde 5 Monate nach der Implantation gemacht.
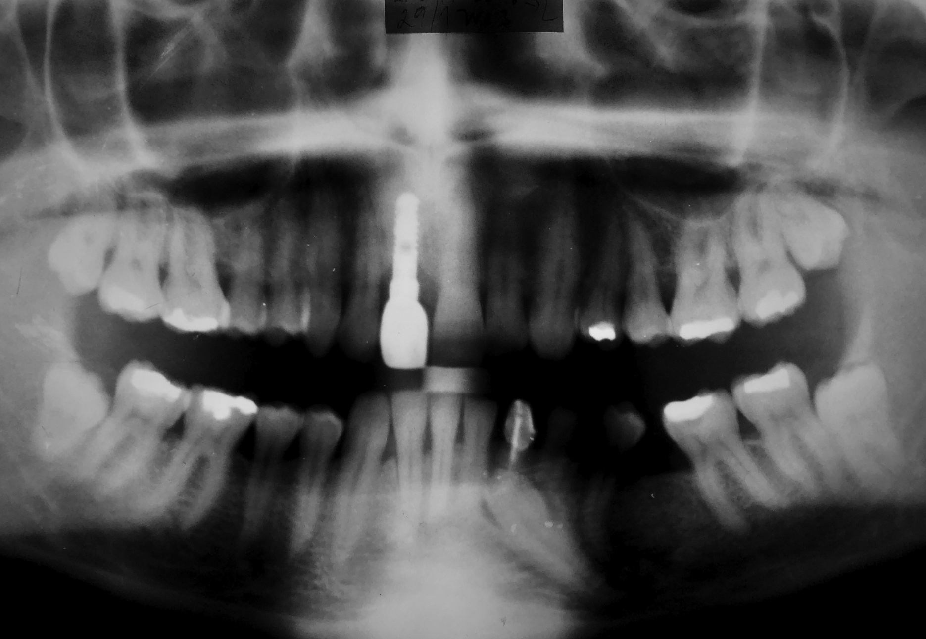
Nach der Einheilung wurde im Juni 2002 eine metallkeramische Krone zementiert. Bei regelmäßigen Recalls wurden weder objektive noch subjektive Änderungen erkannt. Die Kontrollaufnahme vom Januar 2003.
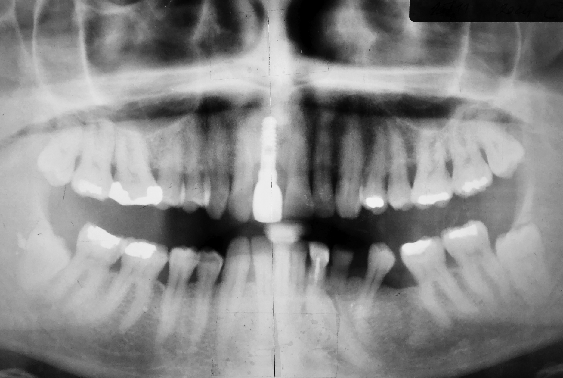
Die letzte Röntgenaufnahme vom November 2024. Das Implantat ist 23 Jahre in Funktion. Auch trotz des signifikanten Bruxismus ist der ursprüngliche Zahnersatz funktionsfähig und ästhetisch zufriedenstellend.




