Implantate und Prothetik für den alternden Patienten

Dr. Volker Bonatz, M.Sc., M.Sc.

  • Volker Bonatz studierte Zahnheilkunde an der Christian-Albrechts-Universität Kiel und absolvierte seine Assistenzzeit in der Marinesanitätsstaffel Wilhelmshaven und in Fachpraxen.
  • 2010 absolvierte er den Master of Science (M.Sc.) orale Chirurgie/Implantologie und 2013 den Master of Science (M.Sc.) ästhetisch-rekonstruktive Zahnheilkunde.
  • Er ist Referent für implantologisch-prothetische Fragestellungen im In- und Ausland und Mitglied der DGOI-Fachgesellschaft.
  • Er betreibt eine privat-orientierte Praxis in Landau mit Schwerpunkt Implantologie und ästhetisch-funktionelle Behandlung. Für seine Patienten sucht er nach ästhetischen sowie jahrelang funktionsfähigen Lösungen mit Rücksichtnahme auf ihre Geschicklichkeit bezüglich der Mundhygiene und ihren Kostenrahmen.

Anamnese

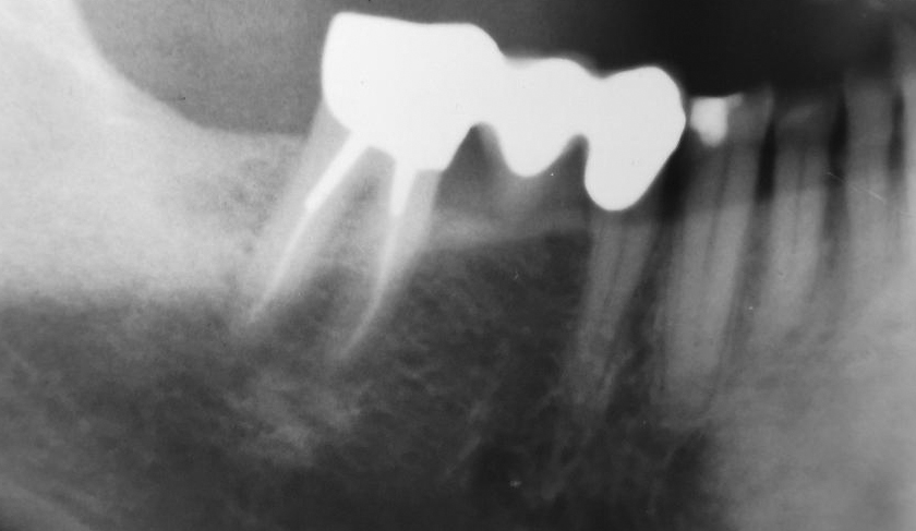
Der 70-jährige Patient mit Beschwerden im rechten Unterkiefer im Bereich einer ca. 30 Jahre alten Brücke. Mögliche initiale apikale Osteoitiden bzw. eine Wurzelfraktur. Befund: ein subkoronal zerstörter mesialer Brückenpfeiler 45 und ein auf Aufbiss druckdolenter Zahn 47. Augmentation sollte vermieden werden, in den atrophierten Arealen sollten besonders schmale Implantate inseriert werden. Wegen eines fehlenden Antagonisten war der Ersatz des Zahnes 47 durch ein drittes Implantat nicht erforderlich.

 

 

Klinischer Fallbericht BioniQ®

Initialsituation: ein subkoronal zerstörter mesialer Brückenpfeiler 45 und ein auf Aufbiss druckdolenter Zahn 47. Eine atraumatische und äußerst knochenschonende Zahnextraktion folgte. Die Alveolenwände wurden fast vollständig erhalten.

 

Insertion: an 45 ein 12 mm langes Implantat BioniQ® Plus mit Ø 2,9 mm und an 46 ein ebenso langes mit Ø 3,5 mm. Beide Implantate verfügen über einen ausgeprägten maschinierten Kragen wegen einer späteren, möglichen Plaqueanlagerung.

 

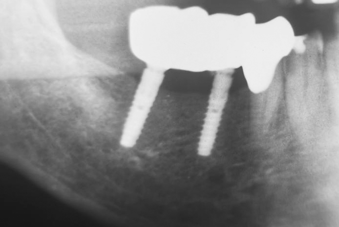
Die Implantate wurden primärstabil und mit der angerauten Oberfläche bis auf Knochenniveau inseriert. Die Röntgenkontrolle belegt eine ausreichende Länge der eingesetzten Implantate BioniQ® Plus.

 

Während der offenen Einheilung wurden Reinigungskontrollen mit der Anweisung, durch Einsatz von Spezialbürsten auch die Abdeckschrauben zu säubern, um eine entzündungsfreie periimplantäre Gingiva sicherzustellen, durchgeführt.

 

Aufgrund der offenen Einheilung entfiel eine chirurgische Freilegung. Mit dem Ostell wurde die Festigkeit dokumentiert, die bei beiden Implantaten deutlich über 70 ISQ lag. Gingivale Verhältnisse vor der Abformung waren sauber.

 

Im Zuge der Behandlung wurde auch die defekte Krone 44 neu gestaltet. Die Implantatpassung wurde wegen des nie auszuschließenden, sehr geringen Verzuges bei der Abformung sicherheitshalber mit einer Implantatkontrollschiene verifiziert.

 

Intraoral lässt sich die Schiene straff, aber spannungsfrei aufsetzen.

 

Alle Implantatprothetik sollte nach Möglichkeit durchschraubbar sein, um bei z. B. Bruxismus-bedingten Schraubenlockerungen einen raschen „Servicezugang“ zu haben. Das zahntechnische Meisterlabor strahlte die einprobierten Abutments rau.

 

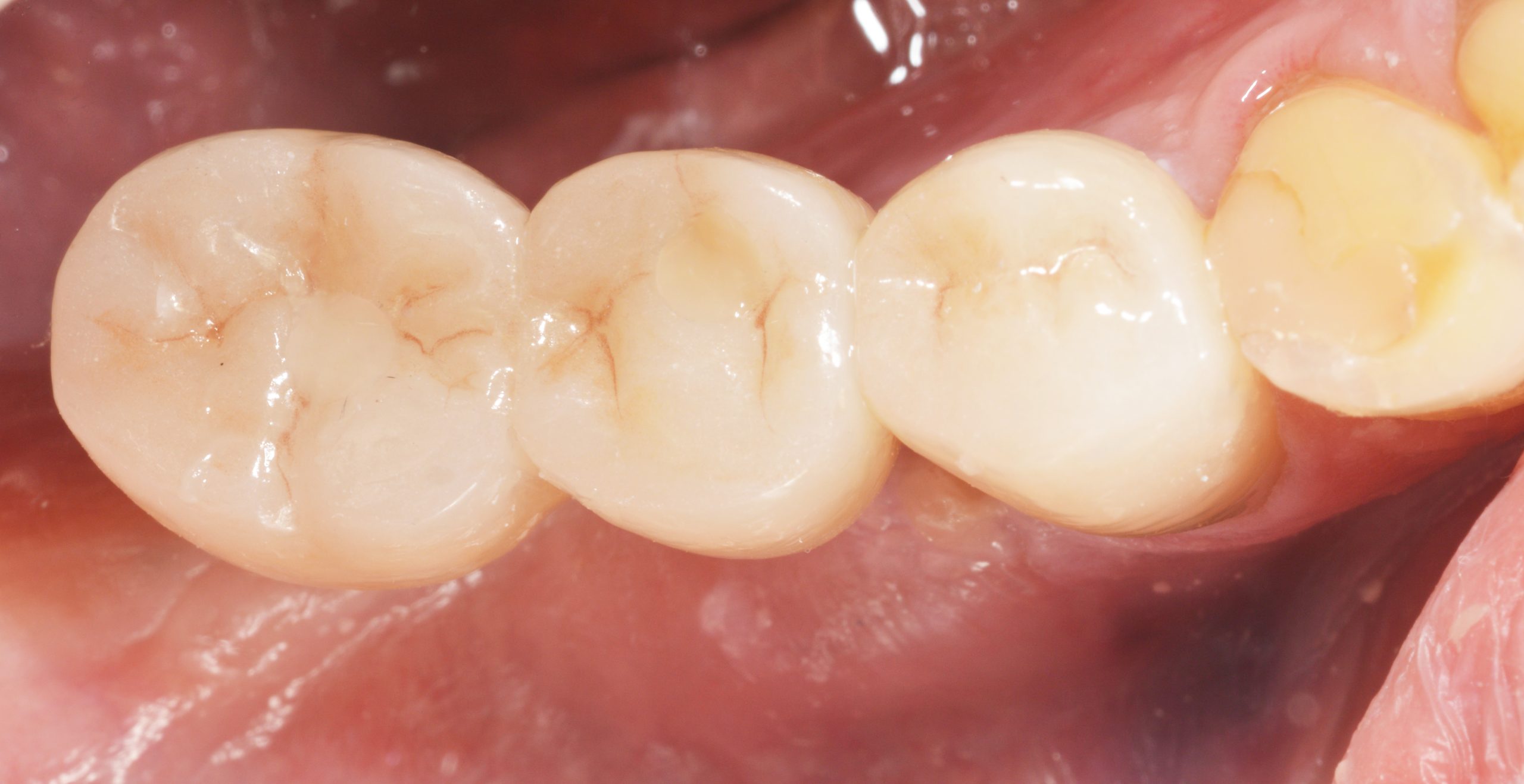
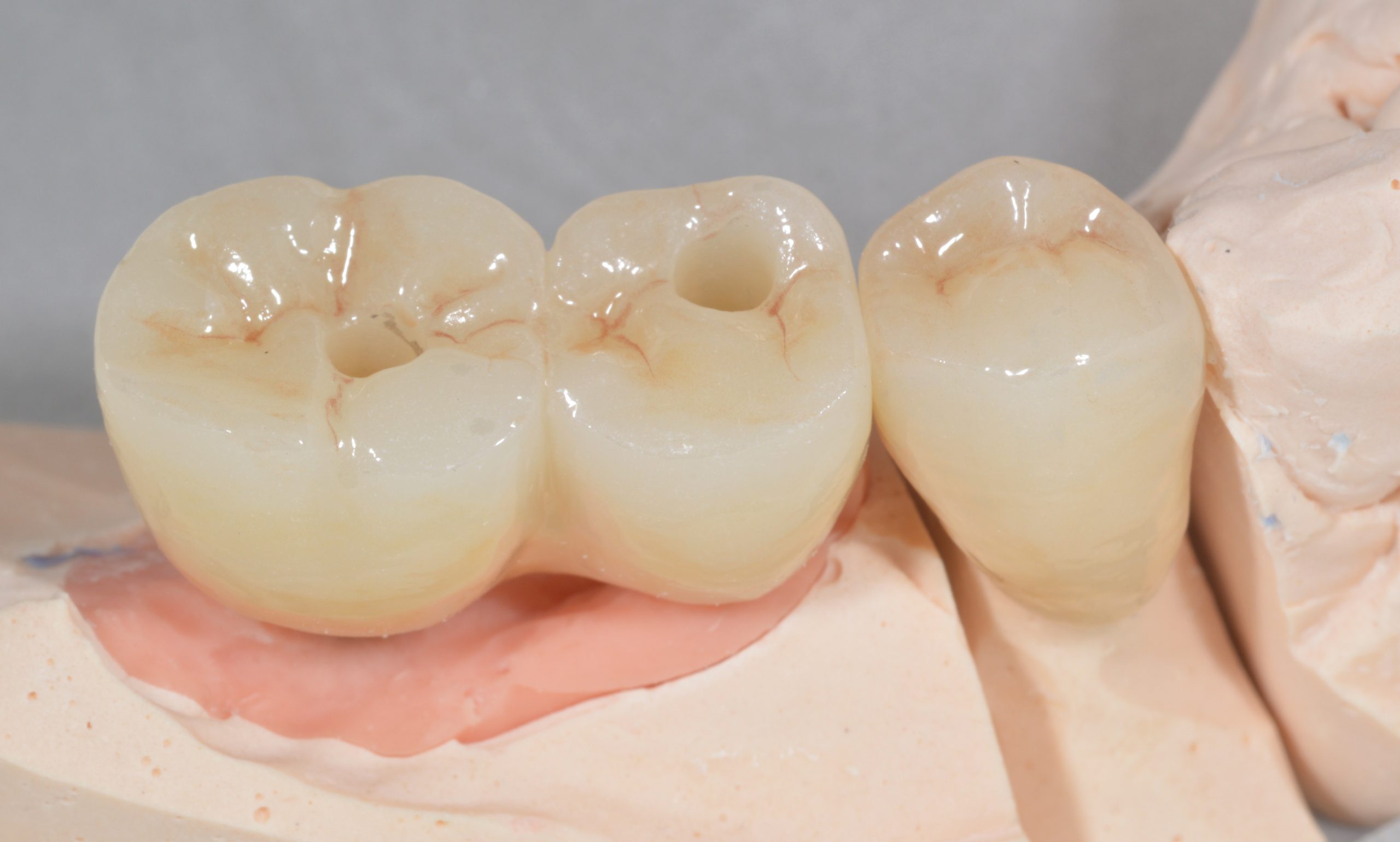
Ein ZrO2-Block mit zwei okklusalen Durchgängen wurde angefertigt.

 

Nachdem die beiden Abutments angezogen und über den Schrauben aufgefüllt wurden, wurde der ZrO2-Block intraoral verklebt und die Öffnungen anschließend mit plastischem Material verschlossen.

 

Zusätzlich sorgte die Zahntechnik für einen reinigungsfreundlichen Durchgang basal zwischen 45 und 46. Die Handhabung der Interdentalbürsten wurde kontrolliert und der Patient mit entsprechenden Instruktionen in das regelmäßige Recall entlassen.

 

Die Röntgenaufnahme 14 Monate später belegt ein stabiles, distal des 2,9er Implantats möglicherweise zugenommenes, periimplantäres Knochenniveau.

 

Herunterladen