Verzögerte Implantation und Sofortbelastung beim Teenager in der ästhetischen Zone
Doc. MUDr. Martin Starosta, Ph.D.
- Martin Starosta studierte Zahnheilkunde an der Palacky-Universität Olomouc. Seine Assistenzzeitverbrachte er an der Klinik für Stomatologie am Universitätsklinikum in Olomouc.
- 1999 wurde er zum Gerichtsexperten der forensischen Zahnmedizin ernannt.
- Im Jahr 2023 wurde er zum Chef der Abteilung für Zahnmedizin der Medizinischen Fakultät an der Universität in Ostrava. Er ist fortlaufend auch in seiner Privatpraxis in Olomouc tätig.
- Er ist Mitglied des Komitees der Tschechischen Parodontologiegesellschaft, Mitglied der Europäischen Föderation für Parodontologie (EFP) und des Internationalen Teams für Implantologie (ITI). Er präsentiert Ergebnisse seiner Arbeit in einer Reihe von Fachberichten und wissenschaftlichen Beiträgen, ist Autor von Lehrbüchern und tritt als Referent im Aussowie Inland auf.
Anamnese
Eine 18-jährige Patientin klagte über eine wiederkehrende Fistel am Zahn 21. Bei einem Fahrradunfall vor fünf Jahren hatte sie sich eine Verletzung der Oberlippe und eine Subluxation des linken oberen Schneidezahns zugezogen. Nachdem das Weichgewebe genäht und der Zahn 21 repositioniert worden war, wurde sie von ihrem Zahnarzt weiterbehandelt. Vor vier Jahren kam es zu einer Verfärbung des Zahns. Mehrere endodontische Behandlungen folgten. Da der Zahn wackelte, wurde er mit den umgebenden Zähnen mittels eines Komposits verblockt.
Klinischer Fallbericht BioniQ®
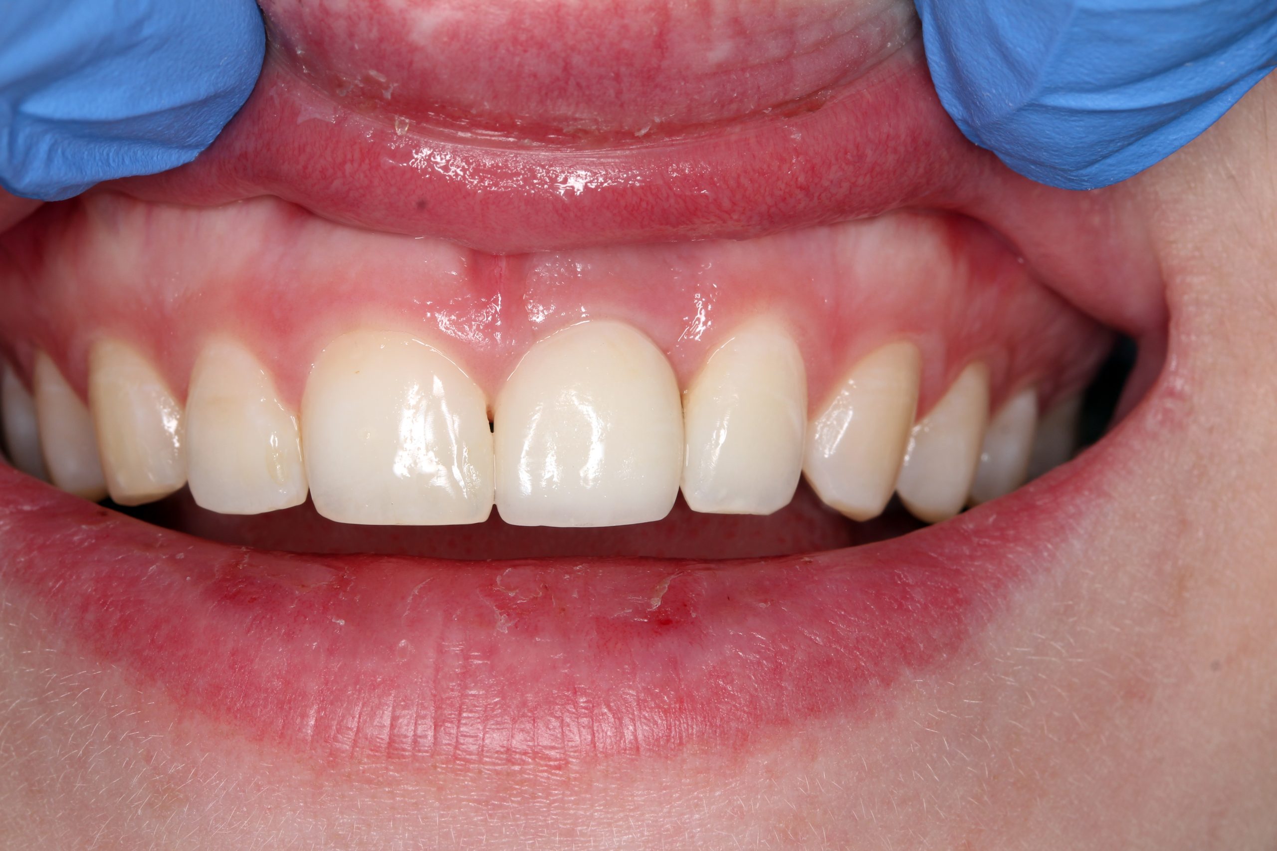
Ausgangsituation: Die Unregelmäßigkeit der Lachlinie wurde durch eine Verformung der Lippe aufgrund eines Traumas verursacht.
Eine chronische Fistel in Regio 21. Der verblockte Zahn 21 mit einer unterschiedlichen Verfärbung. Die intraorale Röntgenaufnahme 21 bestätigte eine unvollständige endodontische Behandlung sowie eine teilweise Wurzelresorption.
Nach der Extraktion und Exkochleation wurde die Extraktionswunde revidiert. Die vestibuläre Wand der Alveole war bis auf den apikalen Teil erhalten. Das Zahnbett wurde nur mit einem antibiotikahaltigen Kollagenkegel aufgefüllt.
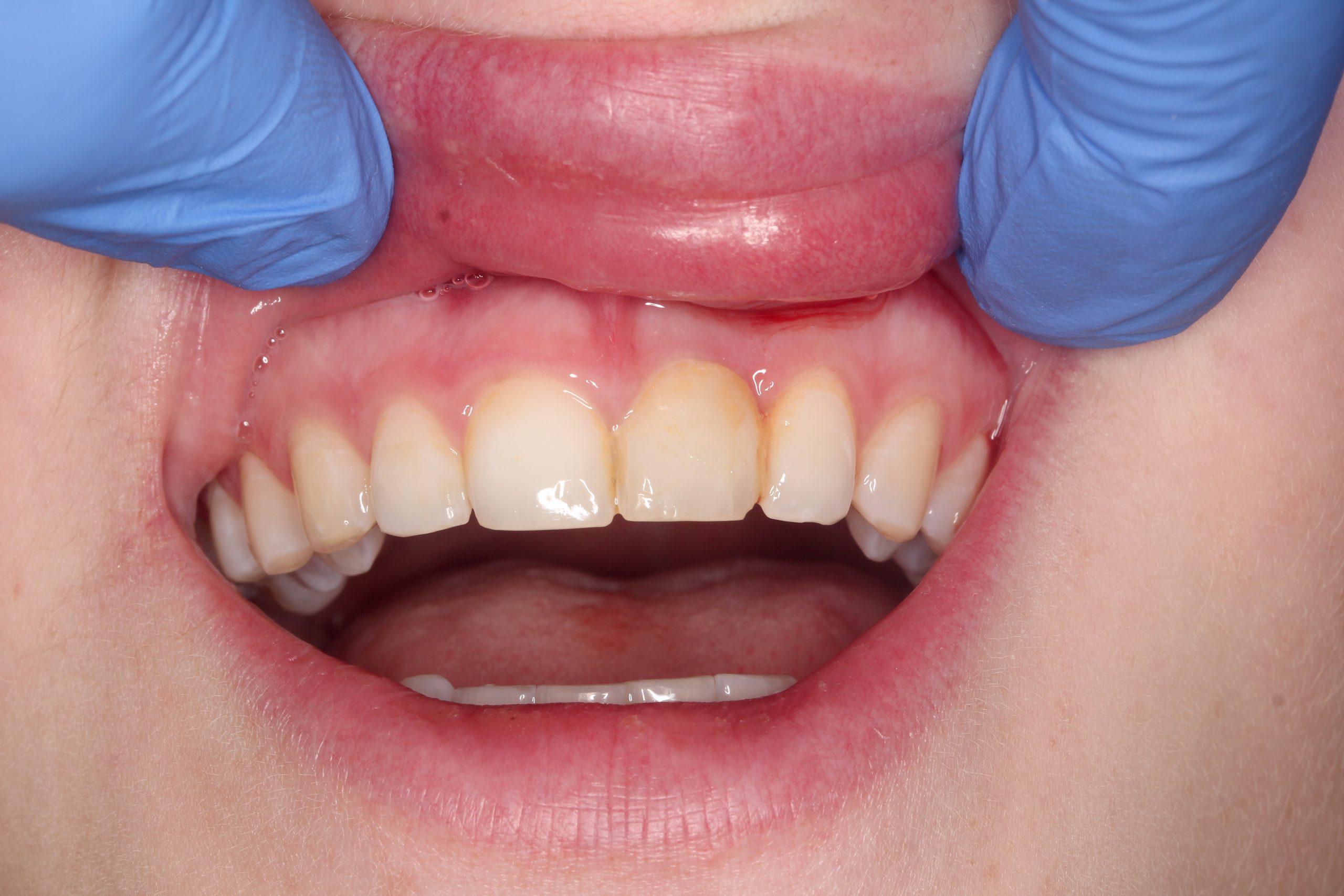
Der extrahierte Zahn diente als Provisorium. Die Wurzel wurde etwa 2 mm unterhalb der SZG abgeschnitten, sodass dieser Teil im Weichgewebe eingebettet war. Die Krone wurde mit Komposit an den Nachbarzähnen befestigt.
Nach 14 Tagen überprüften wir die Einheilung und fixierten den Zahn erneut mit einem mehrsträngigen Draht von der Palatinalseite aus.
Situation nach einem Monat. Es war eine Sofortbelastung des Implantats geplant. Die Vorabformung wurde zur Herstellung einer provisorischen Krone verwendet.
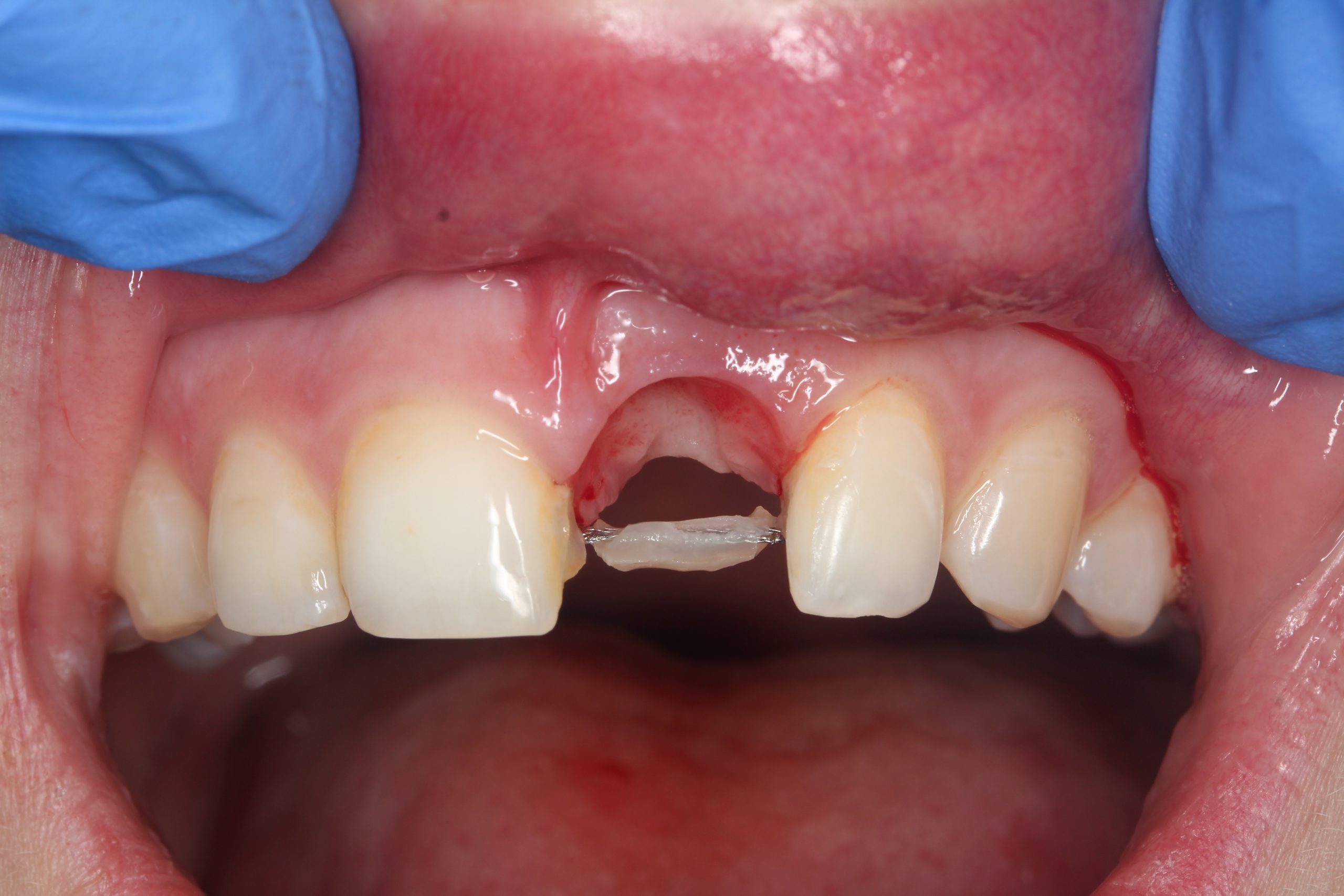
Nach dem Entfernen der Krone: eine perfekt epithelisierte Extraktionswunde und erhaltene Interdentalpapillen. Die Drahtschiene, mit der die Zahnkrone zeitweilig fixiert worden war, wurde als Kontrollelement für das Einsetzen des Implantats vorübergehend zurückbehalten.
Der Mukoperiostlappen wurde palatinal angehoben und teilweise vestibulär mobilisiert. Ein 14 mm langes Implantat BioniQ® von LASAK mit Ø 4 mm wurde eingesetzt und nach dem Entfernen des Trägers ein provisorischer Aufbaupfosten befestigt.
Bei dem Follow-up nach einem Monat sind keine Probleme aufgetreten. Der provisorische Zahnersatz war in das umgebende Gewebe integriert und die Ästhetik des Weichgewebes ist erhalten worden.
Vier Monate nach der Implantation und der Sofortbelastung wurde die provisorische Krone entfernt. Eine vollkeramische Krone wurde im Labor angefertigt.
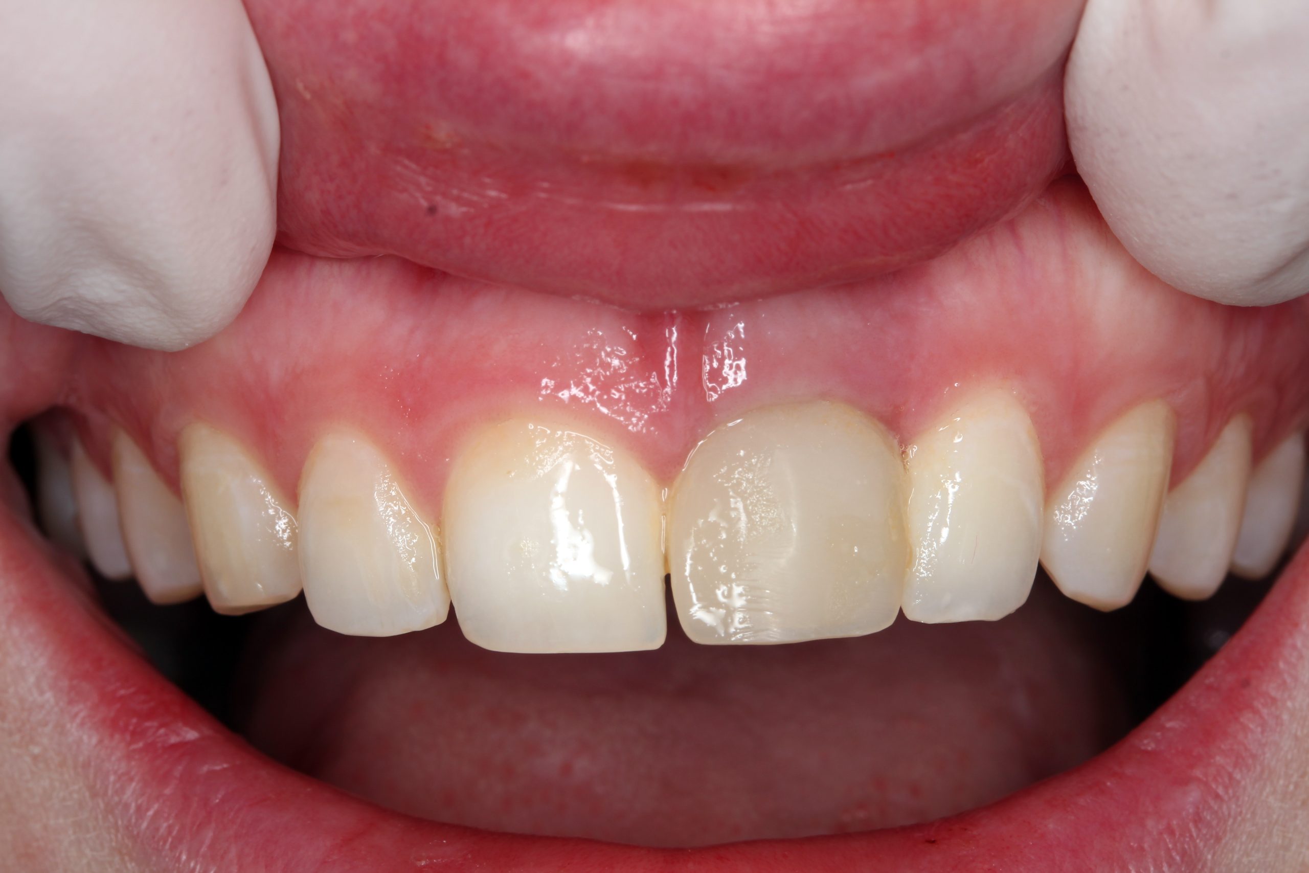
Das Lächeln der Patientin beim Recall nach drei Jahren. Durch minimalinvasive chirurgische Eingriffe und die Schonung des umliegenden Gewebes konnte ein bestmögliches ästhetisches und gleichwohl funktionelles Ergebnis erzielt werden.
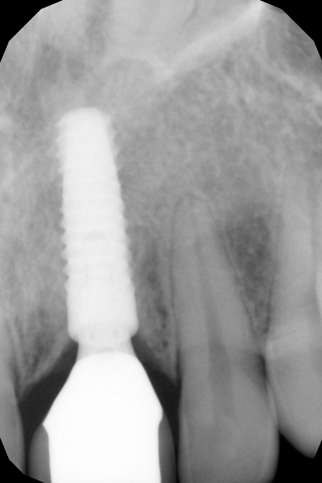
Das Röntgenbild nach drei Jahren zeigt ebenfalls eine verheilte Alveole ohne resorptive Veränderungen.












