Vollnavigierte Implantation mit drei Implantaten BioniQ
MUDr. Jiri Hrkal
- Jiri Hrkal studierte an der Medizinfakultät der Karlsuniversität in Plzen.
- Seit 1992 arbeitet er in seiner Privatpraxis mit Tätigkeitsschwerpunkt dentale Implantologie und Implantatprothetik.
- Er tritt als Referent in Aus- und Inland auf, präsentiert Ergebnisse seiner Arbeit in Fachberichten und ist auch als Lektor u. a. in Bereichen der dynamischen sowie statischen Navigation, Augmentationsverfahren, Verwendung von PRGF tätig.
- Er ist Mitglied von IGZ, DGI, Vizepräsident der Tschechischen Gesellschaft für Implantologie, Mitglied des Vorstands von An-Institute DTMD University Luxembourg.
Anamnese
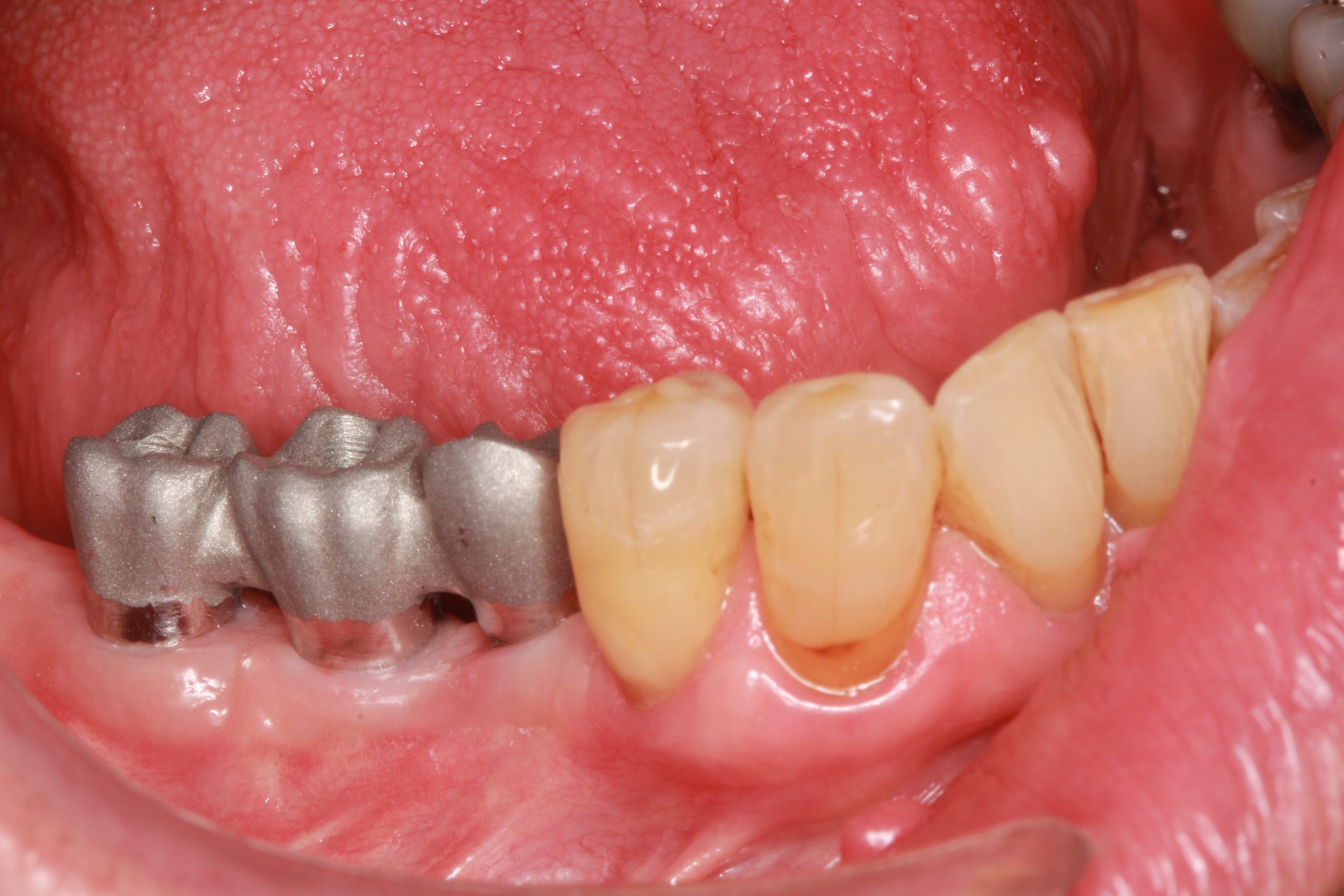
Ein 76-jähriger Patient, gesund und Nichtraucher, stellte sich in unserer Praxis zur Behandlung eines einseitig verkürzten Zahnbogens im rechten Unterkiefer vor. Er verlangte einen festsitzenden, implantatgetragenen Zahnersatz. Aufgrund von CBCT-Scan und der Abdrucknahme wurde eine festsitzende verschraubte metallkeramische Zahnbrücke und die Insertion von drei Implantaten BioniQ® in Regiones 45, 46 und 47 geplant.
Klinischer Fallbericht BioniQ®
Planung der Implantate und der Chirurgieschablone unter Berücksichtigung des vorhandenen Knochenangebots sowie geeigneter Versorgung: an 45 und 46 immer ein 10 mm langes Implantat BioniQ® Straight mit Ø 3,5 mm und an 47 ein 10 mm langes, konisches Implantat BioniQ® mit Ø 4,0 mm.
Die entworfene zahngetragene Chirurgieschablone wurde im 3D-Druckverfahren hergestellt. Für die Implantatinsertion wurde ein Instrumentenset für die schablonengeführte Chirurgie BioniQ® verwendet.
Nach einer Probe des exakten Sitzes der zahngestützten Chirurgieschablone im Mund wurden die Implantate in die geplanten Positionen eingesetzt.
Gemäß dem Operationsprotokoll begann die Präparation mit dem Bohrer S2.9 für die schablonengeführte Chirurgie mit der erforderlichen Länge und mit dem Bohrlöffel S2.9 (mit gleichem Farbstreifen) des kleinsten Durchmessers von 2,3 mm.
Dann wurde die Behandlung mit den geführten Bohrern und den Bohrlöffeln für den entsprechenden Implantatdurchmesser fortgesetzt.
Die Präparation wurde mit Anwendung von geführten Versenkbohrern und Gewindeschneidern mit C-Löffeln abgeschlossen. Die Implantatinsertion wurde nach Entfernen der Chirurgieschablone durchgeführt.
Nach drei Monaten wurden die Implantate freigelegt und der Abdruck gemacht.
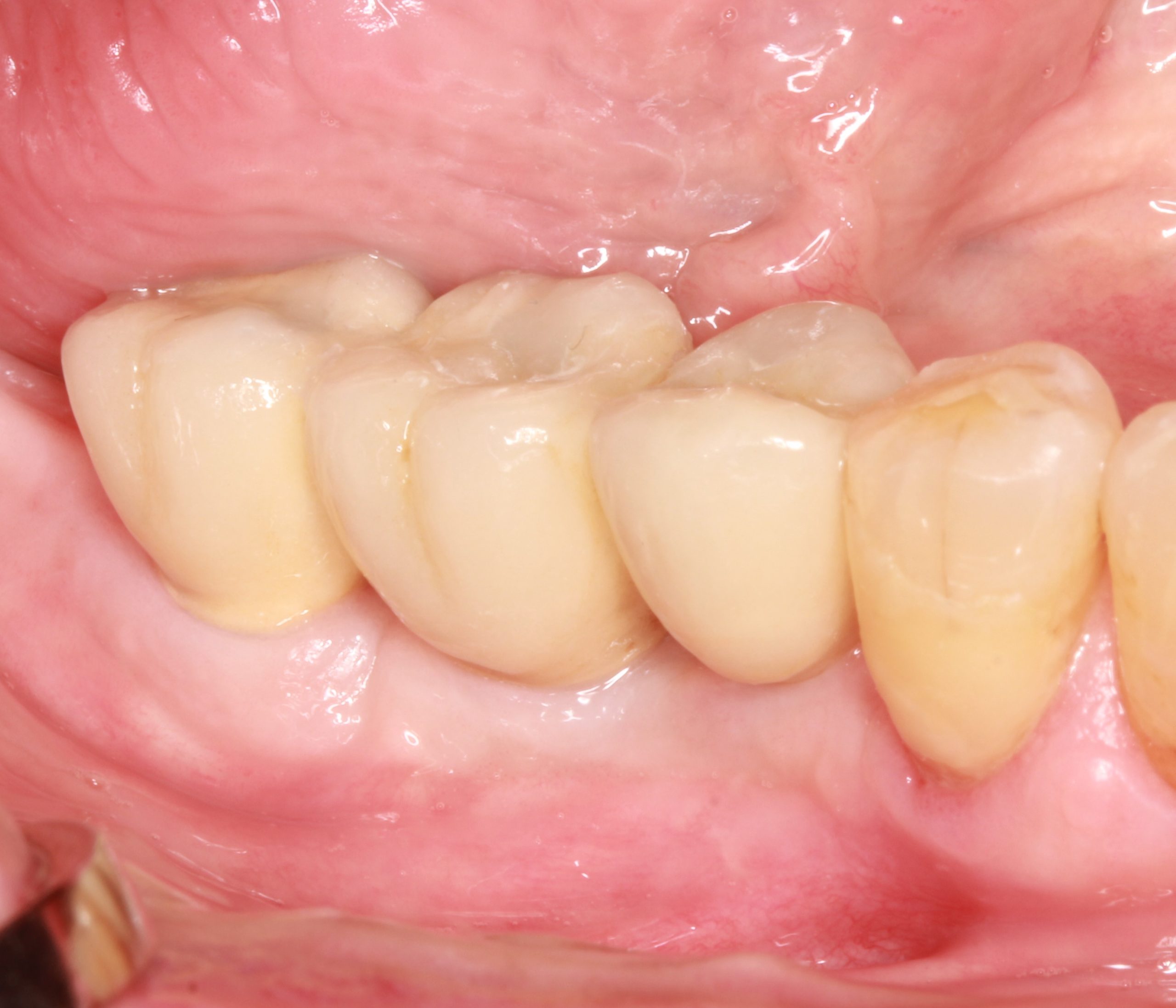
Eine festsitzende verschraubte metallkeramische Zahnbrücke wurde entworfen. Die Anprobe der Suprakonstruktion zeigt, dass sie richtig sitzt.
Der finale Zahnersatz wurde im Patientenmund verschraubt. Die Erwartungen des Patienten auf ein funktionelles und ästhetisches Ergebnis, das langfristig stabil und nachhaltig ist, wurden erfüllt.
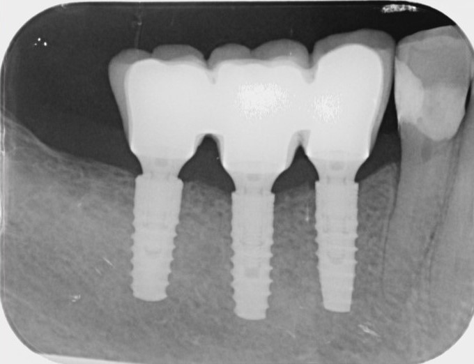
Die Röntgenkontrolle nach dem Aufsetzen des Zahnersatzes.










